Porcelain Veneers
Transform Your Smile
with No Recovery Time
Even the smallest cosmetic imperfections like chips, cracks, or discoloration can make you self-conscious and hesitant to smile.
At Beacon Place Dental Group, we can help you feel completely confident with your smile. With custom designed porcelain veneers.
Find out why so many patients choose our cosmetic dentistry practice, conveniently located in Brookline, MA.
Quick Treatment
Compared to other procedures, porcelain veneers produce relatively fast results and do not require any recovery time . The procedure can be completed in just two appointments at our Brookline, MA office, allowing you to achieve a beautiful smile within weeks.
Comprehensive Coverage
One of the benefits of veneers compared to other cosmetic treatments is how many issues they can address in one procedure. They can provide the appearance of a whiter, straighter, more symmetrical smile by fully concealing discolored, chipped, uneven, or misshapen teeth.
Natural-Looking Results
The porcelain used for veneers is highly lifelike and reflects light like natural tooth enamel, so you can expect your new smile to look gorgeous and natural. Although they are thin, porcelain veneers can provide long-lasting benefits when cared for properly.
Placing veneers is a fairly simple process...
for the experienced cosmetic dentist- (617) 738-0700
- Book Your Consult Online
Ready to Smile more?
Tired of hiding a small or misshapen tooth? Do you cover your smile because of stained, chipped, or gapped teeth? You can make a change today. Beacon Place Dental Group has achieved status as:
- One of the best cosmetic dental practices in Boston
- Experts in Digital Smile Design
- Developers of the SmileWell Method
Since 2001, we've helped patients transform their smiles and gain confidence with porcelain veneers. We can help you, too. Schedule a consultation for porcelain veneers in our Brookline, MA office with Dr. Bill Papadopulos or Dr. Pilar Sanchez, by contacting us online or calling us at (617) 738-0700.
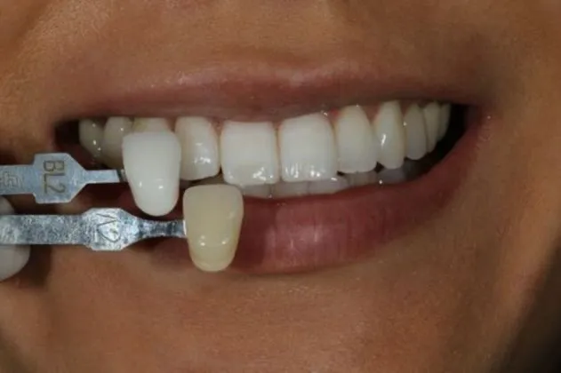
Veneers Cover the Front Surface of the Tooth
- (617) 738-0700
- Book Online
Concealing:
Misalignment
Unevenly sized teeth or gaps can make your smile look misaligned. While orthodontic treatment with ClearCorrect® might still be a better option for severe misalignment, dental veneers can often address minor issues.
Chips & Cracks
Chips and cracks can make your smile look unhealthy and unbalanced. By concealing cosmetic imperfections caused by tooth damage, these porcelain restorations can help your smile look its best.
Internal Staining
Some stains (like tetracycline stains) cannot be removed with teeth whitening alone. If your smile is affected by permanent stains or internal discoloration, our dentists may recommend dental veneers.
Veneers Are Impressively
Long-Lasting
A commonly asked question at our Brookline, MA office during a consultation for porcelain veneers is; (read our blog post) on “How long will my porcelain veneers last?” Review of the scientific literature will reveal a general consensus that porcelain veneers will last about 10-15 years and a success rate of about 93%, for that time period. However, having a clear understanding of what factors insure success, and what measures can be taken to increase longevity can add more years to your beautiful porcelain veneers.
However, certain factors can affect the success of your veneers, including:
Condition of Dental Enamel
In order for veneers to be bonded in place, our dentists will need to remove a small amount of enamel. Veneers typically last longer for patients who have a strong, healthy foundation.
Clenching or Grinding
Although porcelain is very strong, it can become prematurely worn or fractured if you clench or grind your teeth. An oral appliance that protects your teeth during sleep can prevent this from happening.
Oral Hygiene
Porcelain is resistant to stains and decay, but your underlying tooth structure is not. If you don't practice good oral hygiene, you are more likely to acquire cavities and put your dental veneers at risk.
![]()
Dr. Papadopoulos is great with his patients! He takes the time to listen to your needs and make sure you leave healthy and happy. His staff is very warm and accommodating. If you are looking for a cosmetic dentist this is the place to go!
![]()
Mike R Rated 5 Stars, on Google
Do You Qualify for Veneers?
Before receiving veneers, patients at our Beacon Street office in Brookline, undergo a full oral exam to help our dentists determine whether they are good candidates for veneers. In general, good candidates for veneers have:
Treatable Concerns
Because dental veneers cover the whole front of a tooth, they can conceal a wide variety of dental imperfections including small chips, cracks, stains, gaps, and misshapen teeth. They can be used on any number of teeth and are an excellent component of a smile makeover. However, if you have severe dental damage or missing teeth, you might be better suited for restorative treatments, such as dental crowns.
Good Oral Health
Patients who are considering any type of cosmetic dentistry treatments should be in good oral health. If you need gum disease treatment, a professional cleaning, or restorative dental work, these can be administered at our Boston office prior to the placement of your porcelain veneers.
Your Treatment Options
Traditional Veneers
Traditional veneers are made by a trusted, offsite lab and are typically placed over two appointments. Traditional porcelain veneers involve some removal of tooth enamel, and impressions of your teeth must be sent to our dental lab.
Minimal-Prep Veneers
Minimal-prep veneers can be created and placed in a single appointment for patients who qualify. Minimal-prep veneers are even thinner than traditional veneers, and little, if any, enamel is removed.
Which Option Is Right for You?
The only way to determine which option is right for you is to meet with one of the dentists at our Brookline, MA, office.
Not every patient is eligible for minimal-prep veneers. For example, traditional veneers can be more effective if the goal is to fill a gap between your teeth without using orthodontics. Minimal-prep veneers are best suited to changing the color of your smile and correcting minor imperfections. Patients who want to enlarge the look of small or worn teeth may be good candidates for minimal-prep veneers, but on other patients, they can look bulky.
Veneers are precisely customized to complement each patient's unique smile and facial features.
With our vast experience and advanced Digital Smile Design imaging, we can confidently recommend the type of veneer that will give you the very best results.
The Treatment Process
Consultation
You will first meet with one of our skilled dentists so they can perform a thorough examination and discuss your treatment goals and budget with you. Together, you will determine whether traditional or minimal-prep veneers are the best option. If you are receiving minimal-prep veneers, they typically can be placed in a single appointment to provide you with immediate results.
Schedule an appointment now
Preparing the Teeth
If you are receiving traditional veneers, your dentist will prepare each treated tooth by removing a small amount of enamel (less than 1 millimeter). Once the tooth or teeth have been prepped, we will take impressions of your smile to send to our off-site dental lab. An expert dental ceramicist will create your porcelain veneers to our exact specifications.
Placing the Veneers
Once your porcelain veneers are ready, you will return to our Brookline office to have them placed. An acidic solution will be applied to lightly etch your teeth and create a more durable bond. Your dentist will apply dental cement to the backs of the veneers and then press them onto your teeth. We will then use a special curing light to harden the tooth-colored cement. Your dentist will ensure your bite is properly aligned and make any necessary adjustments.

Porcelain veneers are a versatile cosmetic treatment that can transform your smile in a matter of weeks.
He Answered Every Question
![]()
Dr. Papoudopoulous was amazing. He answered every question I had and has been very accommodating and easy to work with. He involved me in the decision process of the veneers and explained all the steps. I've always felt welcome at his office by him and his team.
![]()
Angelo D. on Google
Beacon Place Dental Group
The Beacon Place Dental Group team in Brookline has been helping patients achieve confidence in their smiles since 2001. We use the most advanced technology, techniques, and treatments, including:
- Digital Smile Design
- Our Smilewell® Method
- Zoom! Teeth Whitening
- ClearCorrect® Aligners
See for yourself why we are the top cosmetic
dental practice in the Boston area.- (617) 738-0700
- request an appointment online