Beacon Place Dental Group
1371 Beacon St, Ste 101
Brookline, MA 02446
(617) 738-0700
About The Practice
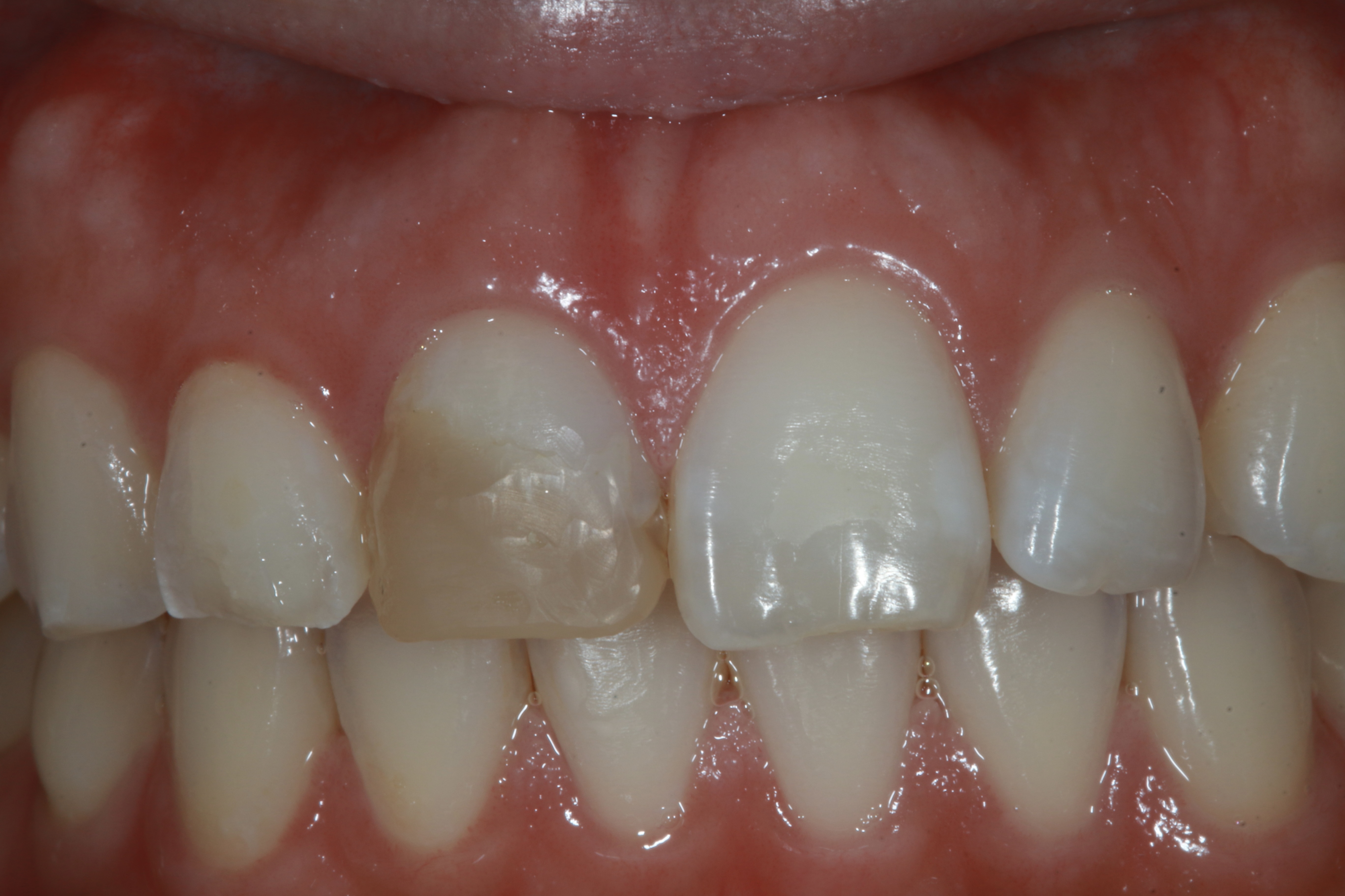
Smile Gallery
Book Appointment
Home
About The Practice
Our Services
Smile Gallery
Contact Us
Book Appointment
Back
About The Practice
Meet The Doctors
Smile Well Method
Press Releases
Newsletters
Awards
Forms
Finance Options
Back
Cosmetic Dentistry
Invisalign®
Digital Smile Design
Sports Dentistry
Porcelain Veneers
Cost of Porcelain Veneers
Dental Implants
Teeth Whitening
Smile Makeover
Porcelain Crowns
Dental Bridge
Oral Cancer Screening
Virtual Smile Preview
Smile Photos