Invisalign Results

    invisalign_plain-png

Introduction
The Process
The Results
FAQs
couple3
The Results


Below are cases of actual Invisalign patients.


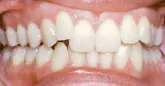
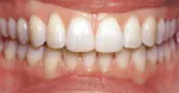
Case1 - John: Crowding

Treatment Time: 10 months. Aligners used: 13 Upper, 18 Lower


John - before John - after


Case2 - Jennifer: Crowding

Treatment Time: 22 months. Aligners used: 44 Upper, 27 Lower

Jennifer - before Jennifer - after